clinicadentallemmor.com

PERIODONCIA

DENTAL

Es la prevención, diagnóstico y tratamiento de las enfermedades

que afectan a los tejidos que soportan al diente

(encía, hueso y ligamento periodontal).

Prevención y Limpieza Profunda

Realizamos limpiezas profundas y raspado radicular para eliminar la placa y el sarro acumulados bajo las encías.

Tratamiento de Enfermedades Periodontales

Ofrecemos tratamientos especializados para la periodontitis, que detienen la pérdida de hueso y protegen la estructura dental, evitando daños mayores.

Cirugía y Mantenimiento

Cirugías periodontales para regenerar tejidos y mejorar la salud y estética de las encías. Además, ofrecemos mantenimiento periódico con limpiezas regulares para conservar los resultados y prevenir recaídas.

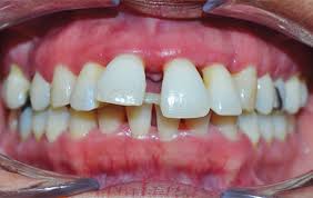
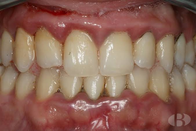
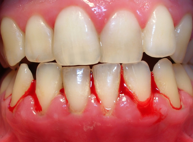
Enfermedades Periodentales frecuentes

perio1

Diente y encias sanos

mesa de trabajo 2

Gengivitis

mesa de trabajo 3

Periodontitis

mesa de trabajo 4

Periodontitis Avanzada

En las fases más incipientes de estas enfermedades el tratamiento es un curetaje, con el que se raspa y alisa la raíz del diente y se elimina la placa bacteriana y el sarro de las bolsas periodontales.

Nuestros Servicios

Preguntas Frecuentes sobre Periodoncia

ortho (7)

Cuando notes sangrado de encías, inflamación, mal aliento persistente o movilidad dental.

Generalmente no, ya que se realiza con anestesia local y técnicas mínimamente invasivas. Puede haber una ligera molestia posterior que desaparece en pocos días.

Se puede controlar y detener su avance con un tratamiento adecuado y mantenimiento periódico, pero requiere compromiso del paciente.

Depende de tu estado periodontal, pero suele recomendarse cada 6 a 12 meses en pacientes con antecedentes.

Puede avanzar hasta provocar pérdida de dientes y afectar la salud general, incluso aumentando el riesgo de problemas cardíacos.

Especialistas en el cuidado de tu sonrisa